Dr. Leonardo Oliveira
Especialista em Cirurgia torácica e Endoscopia Respiratória – Mais de 20 anos de experiência – Título de Especialista em Cirurgia Torácica e Endoscopia Respiratória- CREMEC 7780 – RQE: 3272 e 3261
Sobre o Dr. Leonardo Oliveira
Graduado pela Universidade Federal do Ceará em 2000. Cirurgião torácico habilitado e com registro de especialidades pelo Conselho Regional de Medicina e Título de especialista em Cirurgia torácica e Endoscopia respiratória
Cirurgia dos pulmões, parede torácica, vias aéreas e mediastino
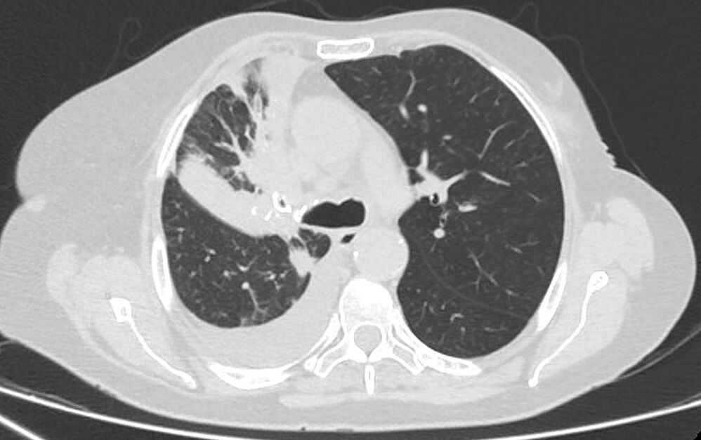
O cirurgião torácico é o especialista mais habilitado para o diagnóstico das patologias dos pulmões. Com a crescente incidência de Câncer pulmonar mesmo em paciente não fumantes, cada vez mais jovens, casos que a detecção precoce é importantíssima.
A avaliação dos nódulos pulmonares deve ser feita por médico experiente e capacitado para a correta condução com tratamento individualizado.
Nos casos de patologias pleurais é o cirurgião torácico o profissional que tem a vivência correta para decisão da terapia dimensionada para cada caso.
Nas patologias das vias aéreas e do mediastino o cirurgião torácico é aquele que decide qual abordagem deverá ser realizada
Serviços especializados oferecidos
Cirurgia torácica e Broncoscopia flexível e rígida
Cirurgia Video Assistida
Cirurgia com incisões menores, menor dor e retorno as atividades normais mais rápida, além de menor agressão e com menor perda de função motora e respiratória
Cirurgia robótica
Plataforma de ponta, já disponível em vários hospitais na cidade de Fortaleza. Dr. Leonardo é Cirurgião torácico robótico habilitado. è uma plataforma que determina melhor visualização das estrutura intratorácicas
Endoscopia respiratória
Para abordagem para diagnóstico, principalmente no caso da broncoscopia flexível além de procedimentos terapêuticos realizados comumente com a broncoscopia rígida
Experiência de mais de 20 anos
Mais de 20.000 procedimentos realizados (Cirúrgicos e endoscópicos)
Residência Médica no Hospital de Messejana Dr. Carlos Albert Studart Gomes – concluída em 2005 – Fortaleza – Ceará
Especialista pela Sociedade Brasileira de Cirurgia torácica com título emitido pela Associação Médica Brasileira em 2017 no Rio de Janeiro.
Àrea de atuação em Endoscopia respiratória pela Sociedade Brasileira de Cirurgia torácica com título emitido pela Associação Médica Brasileira em 2021 em São Paulo.
Certificação pela Intuitive no Hospital Albert Einstein em 2021 para plataforma Da Vinci
Mestrato Latu sensu pela UNIFOR (Universidade de Fortaleza) com foco em cirurgia torácica Minimamente Invasiva
Procedimentos que realiza
Exemplos de procedimentos que o Dr. Leonardo é especilista em realizar
Você merece o cuidado de um especialista
Escolha um cirurgião torácico devidamente habilitado
